Skip to content

VIVIX RES-V SHAKLEE

Month: January 2017

Punca Barah Otak
Posted in
  • SHAKLEE

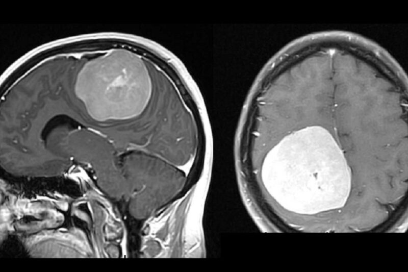
Punca Barah Otak

Punca barah otak adalah tumor otak malignan yang boleh merebak dengan cepat ke bahagian lain otak … Punca Barah OtakRead more

by vitamin.my•January 30, 2017•0
Lumpuh Selepas Suntikan Epidural ? Vivix Hilangkan Rasa Sakit ?
Posted in
  • SHAKLEE

Lumpuh Selepas Suntikan Epidural ? Vivix Hilangkan Rasa Sakit ?

Lumpuh Selepas Suntikan Epidural ? Vivix Hilangkan Rasa Sakit ? Jom baca bagaimana kisah seram selepas … Lumpuh Selepas Suntikan Epidural ? Vivix Hilangkan Rasa Sakit ?Read more

by vitamin.my•January 4, 2017•0

Recent Posts

  • Baiki DNA Lambatkan Penuaan – Polifenol Revolusi Kesihatan Selular
  • Rahsia Cepat Sembuh: Panduan Komprehensif Berlandaskan Sains Terkini
  • Luka Cepat Sembuh Kering: Panduan Lengkap dari Penjagaan Asas Hingga Nutrisi Selular
  • Kesan Steroid Jangka Panjang – Alternatif Semula Jadi & Selamat untuk Keradangan Kronik
  • Hipertiroid Penyebab Masalah Jantung: Panduan Lengkap Risiko, Rawatan & Kajian Terkini

Recent Comments

  1. Polifenol Umur Panjang – Kajian Jangka Hayat Untuk Kesihatan Kita – VIVIX RES-V SHAKLEE on Manfaat ResV Shaklee – Kesihatan Menyeluruh Lebih Sihat Bertenaga
  2. Rahsia Awet Muda: Kesihatan Selular & Gaya Hidup Seimbang – VIVIX RES-V SHAKLEE on Baiki DNA Lambatkan Penuaan – Polifenol Revolusi Kesihatan Selular
  3. Kecutkan Cyst Secara Semulajadi Dengan Diet Real Food – TIPS SIHAT UNTUK UMAT on VIVIX SHAKLEE KECUTKAN CYST ?
  4. Resveratrol Jana Tenaga Sel – Lebih Daripada Anti-Penuaan – VIVIX RES-V SHAKLEE on Vivix Solusi Masalah Kesihatan
  5. Resveratrol Jana Tenaga Sel – Lebih Daripada Anti-Penuaan – VIVIX RES-V SHAKLEE on Stop ResV Shaklee Seminggu ? Apa Akan Terjadi Pada Badan Anda

Archives

  • October 2025
  • September 2025
  • August 2025
  • July 2025
  • June 2025
  • May 2025
  • April 2025
  • March 2025
  • November 2024
  • October 2024
  • September 2024
  • August 2024
  • June 2024
  • July 2023
  • June 2023
  • February 2023
  • November 2022
  • September 2021
  • January 2021
  • December 2020
  • November 2020
  • June 2020
  • May 2020
  • December 2019
  • February 2017
  • January 2017
  • September 2016
Copyright © 2025 VIVIX RES-V SHAKLEE.
Powered by WordPress and HybridMag.