Punca barah otak adalah tumor otak malignan yang boleh merebak dengan cepat ke bahagian lain otak dan tulang belakang. Sila ambil perhatian, tidak semua tumor otak malignan dan boleh dikategorikan sebagai kanser.
Terdapat juga tumor otak tidak berbahaya. Benign tumor otak adalah sekumpulan sel-sel otak yang tumbuh perlahan-lahan dan tidak merebak ke bahagian lain. Jadi jom baca beberapa punca barah otak yang anda perlu tahu.
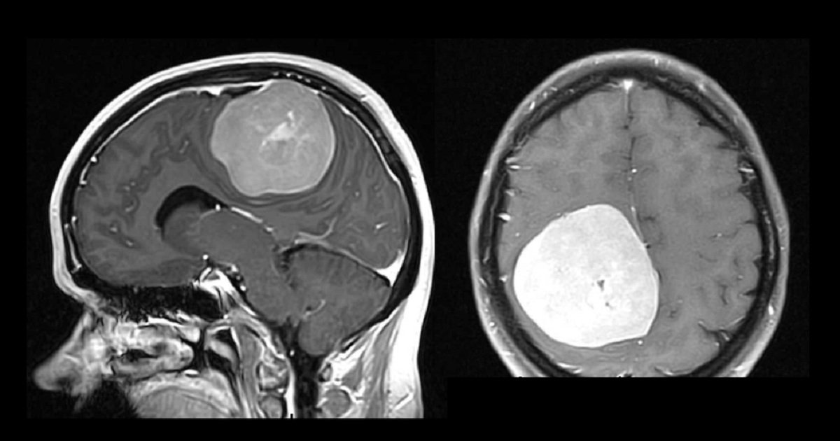
PUNCA BARAH OTAK
tumor otak sendiri adalah pertumbuhan sel-sel otak yang luar biasa dan tidak terkawal. Dalam otak, tumor boleh membangunkan dari sel-sel yang membentuk tisu otak, saraf yang keluar-masuk ke dalam otak, dan membran yang meliputi otak dan saraf tunjang (meninges). Pada asalnya, tumor otak dibahagikan kepada dua, iaitu primer dan sekunder. Tumor otak primer adalah tumor yang timbul dalam otak, manakala tumor otak sekunder adalah ketumbuhan yang berasal dari bahagian-bahagian badan yang lain tetapi merebak ke otak.
Kebanyakan kes kanser otak adalah sejenis kanser otak sekunder, di mana kanser yang berasal daripada organ lain dan kemudian merebak ke otak. Apabila dilihat dari tahap pembangunan dan mempercepatkan pertumbuhan dan penyebaran, ketumbuhan malignan tumor otak dibahagikan kepada empat peringkat, iaitu:
- Peringkat 1 dan 2: secara am rendah.
- Peringkat 3 dan 4: biasanya malignan, dan boleh dirujuk sebagai ‘kanser’.
GEJALA KANSER OTAK
Gejala Brain tumor berbeza dari satu pesakit kepada pesakit lain bergantung kepada saiz dan bahagian otak yang terjejas. Tumor boleh menjadikan kawasan yang dijangkiti otak tidak berfungsi dengan sempurna dan menekan tisu otak, menyebabkan sakit kepala dan sawan. Berikut adalah beberapa tanda-tanda lazim tumor otak termasuk:
- Keletihan yang berlebihan dan mengantuk.
- penglihatan bermasalah.
- Terjejas dalam berjalan dan bercakap.
- Muntah.
RAWATAN PUNCA BARAH OTAK
Keadaan kesihatan dan umur pesakit apabila mereka didiagnosis dengan tumor. Penyakit ini mesti ditangani secepat mungkin, biasanya dengan pembedahan untuk membuang sel-sel kanser. Proses penyembuhan boleh diikuti dengan radioterapi, kemoterapi, atau gabungan kedua-duanya. Jika tiada pembedahan segera, kanser yang berpotensi merebak dan bahagian-bahagian kerosakan otak dan saraf tunjang, walaupun kepada organ-organ lain.
Walaupun kanser otak sekunder, faedah rawatan hanya untuk melegakan gejala dan memanjangkan jangka hayat sahaja. Memandangkan kemungkinan kecil bagi pesakit untuk pulih sepenuhnya, terutamanya ketumbuhan atau kanser yang telah merebak ke bahagian badan yang lain.
Rasa takut adalah perkara biasa bagi orang-orang dengan kanser otak.
Seluruh keluarga pesakit mesti terlibat dalam semua proses membuat keputusan dan bagaimana untuk hidup kehidupan seharian kita. Keluarga juga perlu memahami dan mengetahui tentang apa yang ada dan mungkin akan berlaku. Berikut adalah beberapa perkara yang boleh membantu anda, keluarga anda dan rakan-rakan rapat untuk menghadapi perubahan dalam hidup:
- Mencari maklumat perubatan yang tepat mengenai penyakit dan proses pemilihan rawatan kanser otak.
- Jika anda mendapati sukar untuk mengingati soalan dan jawapan, menulis mereka sebagai peringatan. Menyediakan sesuatu untuk rekod.
- Sangat baik untuk keputusan anda secara aktif dalam pilihan cara-cara pengendalian dan penjagaan. Ini boleh membantu menghilangkan rasa takut daripada salah faham dan anda dapat merasakan mereka mempunyai kawalan ke atas apa yang berlaku.
- Jangan memaksa diri untuk bergerak sebelum ia didiagnosis.
- Tetapkan had untuk diri sendiri.Kanser otak boleh memberi kesan kepada kemahiran motorik, pertuturan, penglihatan, dan pemikiran semasa dan selepas rawatan.
- Terdapat pelbagai jenis terapi yang boleh dilakukan untuk membantu proses pemulihan.
- Anda boleh menjalani kaunseling jika mereka mahu membincangkan aspek emosi diagnosis dan penjagaan.
sumber: melayupostinfo

Resveratrol Mampu Menghalang Sel Kanser Dari Merebak ?
Kajian saintifik yang membuktikan keberkesanan resveratrol melawan kanser:
- Kajian dalam Annals of The New York Academy of Sciences pada tahun 2011 melaporkan beberapa kajian awal menunjukkan resveratrol mempunyai kesan anti kanser.
- Kajian yang diterbitkan oleh FACEB jurnal pada October 2011 menunjukkan resveratrol berjaya menghalang sel kanser payu dara daripada membesar.
- Kajian yang dibuat oleh University of Nebraska pada tahun 2008 mendapatiresveratrol berjaya menghalang estrogen daripada bertindak balas dengan DNA dan menyebabkan kanser payu dara.
- Kajian yang dibuat oleh University of Florida pada tahun 2011 menunjukkan resveratrol mempunyai sifat anti-carcinogenic yang boleh menghalang sel normal menjadi sel kanser.
- Kajian yang dibuat oleh University of Kansas pada tahun 2012 menunjukkan resveratrol boleh membantu menghalang kanser prostate daripada membesar.
BAGAIMANA RESVERATROL MEMBANTU MENGHALANG PENYEBARAN SEL KANSER
Resveratrol merupakan sejenis polifenol yang dipanggil phytoalexin atau bahan kimia semulajadi yang dikeluarkankan oleh sesetengah tumbuhan dimana fungsinya adalah sebagai agen pertahanan apabila diserang oleh penyakit dan serangan bakteria atau kulat ataupun pathogen yang lain.
Ia terhasil daripada tindakbalas tumbuhan tersebut terhadap jangkitan kulat, tekanan, kecederaan akibat dirosakkan haiwan, sinar UV, cuaca ekstrem dan sebagainya.
Resveratrol boleh didapati daripada tumbuhan, buah-buahan dan bijian. Namun, kulit anggur merah iaitu anggur muscadine mengandungi kandungan resveratrol yang paling tinggi selain rasberi dan kekacang.
Anggur Muscadine mempunyai ikatan kimia yang jauh berbeza berbanding anggur-anggur yang lain kerana ianya kaya dengan anthocyanins yang mana mempunyai antioksidan yang tinggi dan menunjukkan beberapa kesan anti-tumor antaranya menghalang sintesis DNA dalam kanser payudara dan perkembangan saluran darah dalam sesetengah tumor termasuklah enzim perebak tumor.
Merencatkan Pertumbuhan Sel Kanser
Resveratrol dipercayai dapat merencatkan pertumbuhan sel kanser selain dapat membina daya ketahanan terhadap kanser di mana terdapat 3 fasa iaitu:
1, Fasa Pertama
Pada fasa ini, resveratrol bertindak mengurangkan kerosakkan sel-sel sihat yang berpunca dari serangan agen-agen karsinogenik
2. Fasa Pertumbuhan
Resvertrol mengaktifkan gen Sirtuin 1 iaitu gen anti-penuaan bagi tujuan menghalang pertumbuhan sel-sel kanser
3. Fasa Pertumbuhan Pesat
Di peringkat ini, resveratrol membantu mempercepatkan proses apoptosis iaitu proses mematikan sel-sel kanser.
Kehebatan Anggur Muscadine Atasi Punca Barah Otak
Semalam saya belajar betapa kuatnya minyak biji anggur muscadine. Berikut adalah beberapa maklumat mengenainya. Saya sangat teruja saya boleh menawarkan keajaiban ini kepada rakan dan keluarga saya! Tidak sabar untuk mendapatkan beberapa untuk saya cuba!
Biasanya ditemui di tenggara Amerika Syarikat, anggur Muscadine (Vitis rotundifolia) digelar “The Smarter Grape” kerana ia mempunyai dua lebih kromosom berbanding anggur lain (Vitis vinifera), yang membolehkan rangkaian manfaat kesihatan yang lebih luas. Biji anggur muscadine mengandungi lebih 100 sebatian fenolik berkuasa yang digunakan untuk menyokong kesihatan jantung, sendi, gula darah, fungsi otak, fungsi sel, imuniti dan fungsi seksual, dan menangani pelbagai masalah seperti sakit kepala, anti-penuaan, keletihan, menopaus dan banyak lagi.
Biji anggur muscadine mengandungi sehingga 10 kali ganda nilai antioksida daripada makanan antioksida tinggi lain seperti blueberry dan cranberry. Berbanding dengan biji anggur lain, biji anggur Muscadine mempunyai 40 kali ganda antioksidan dan lebih banyak Resveratrol – polifenol yang terdapat dalam wain merah dan terbukti memberi manfaat kepada kesihatan kardiovaskular, paras gula dalam darah dan proses penuaan, antara isu kesihatan yang lain. Selain itu, anggur Muscadine menawarkan gabungan unik fitokimia dan sebatian fenolik yang tidak terdapat dalam anggur, buah-buahan atau sayur-sayuran lain, seperti Resveratrol, Asid Ellagic, OPC dan Quercetin.